矯正歯科

矯正歯科

orthodontics

矯正歯科

矯正治療とは、悪い歯並びをきれいにしたり、悪いかみ合わせをしっかりかむようにしたり、お口全体を健全に育てることを目的としています。大人の方でも矯正は始められます。一緒に素敵な笑顔、しっかりとしたかみ合わせを目指していきましょう。

Step.1 無料相談

顔貌や噛み合わせ、歯並び、口元など、気になることは何でもご相談してください。一般的な矯正治療の流れや装置、費用、期間等の説明を行います。具体的な費用に関しましてはお問い合わせ下さい。

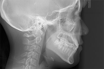
Step.2 検査

歯やあごの状態を正確に知るために、口や顔の写真、レントゲン写真(頭部X線規格写真、パノラマ等)、歯型などの資料を採ります。特に頭部X線規格写真(セファログラム)は、上下のあごの大きさやそのバランス、あごや唇の形態、歯の傾斜角度、口元のバランスなどの状態を正確に知ることができる検査です。

Step.3 診断

検査結果を分析し、具体的な治療方針や装置の説明を行います。その際、今後のスケジュールを決めていきます。

Step.4 準備

矯正治療を始める前に虫歯の治療やお口の衛生状態をチェックし、指導します。また、装置装着の準備等を行っていきます。

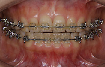
Step.5 治療開始

矯正装置を装着し、治療を開始します。

1)あごが発育中の場合 (Ⅰ期治療)

上顎骨や下顎骨の成長のコントロールや、成長に悪影響を及ぼす習癖の除去、不正咬合を改善していきます。

2)あごの発育が終了した人の場合 (Ⅱ期治療)

マルチブラケット装置などを用いて全顎的な歯の移動を行います。

Step.6 治療中

一定の間隔で通院して頂きます。装置の調節は約1~3か月に1回です。装置や期間は患者さんごとで異なります。

Step.7 保定

矯正装置を外したあと、きれいになった歯並びを保つための管理期間です。歯並びを安定させるために、簡単な装置を使用します。装置の調節は約3~4か月に1回です。

※自費でお支払いいただいた矯正治療費は医療費控除の対象になります。税務署により判断基準が異なりますが、医療費控除の詳細や申告方法は国税庁ホームページを参考にして下さい。